牙齒貼片是一種流行的美容牙科治療,旨在改善牙齒的外觀。根據不同的需求和預算,牙齒貼片主要可以分為幾種類型。首先,最常見的類型是瓷牙貼片,這種貼片以其自然的外觀和耐用性而受到廣泛青睞。瓷牙貼片能夠有效遮蓋牙齒的瑕疵,如變色、裂縫或不規則形狀,並且不易染色,能夠保持長久的美觀。 另一種常見的牙齒貼片是樹脂複合材料貼片。這種貼片通常較為經濟,並且可以在牙科診所內即時製作。樹脂複合材料貼片的顏色可以根據患者的需求進行調整,從而達到更好的美觀效果。然而,這種材料的耐用性相對較低,可能需要定期更換或修補。除了這兩種主要類型外,還有一些特殊材料的貼片,如金屬貼片,雖然不如前兩者普遍,但在某些情況下仍然有其獨特的應用價值。 請參考我們的超優行銷方案,省下大量廣告支出,讓您的業務快速成長。
重點搶先看
- 牙齒貼片有多種材質選擇,如陶瓷和樹脂,適合不同需求。
- 製作過程精細,需專業牙醫量身訂做以確保貼合度。
- 適用於改善牙齒色澤、形狀及輕微排列不整。
- 安裝後需定期清潔與保養,避免損壞和變色。
- 了解價格差異及可能風險,有助於做出明智決策。
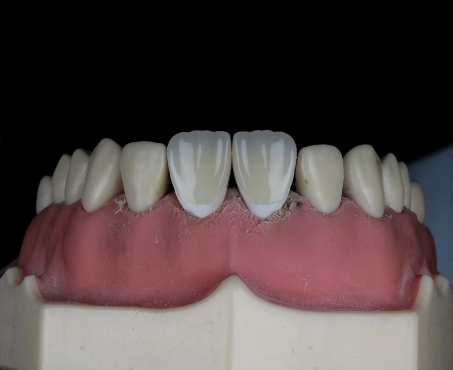
不同材質的牙齒貼片比較
在選擇牙齒貼片時,材質是影響效果和耐用性的重要因素。瓷牙貼片以其優雅的外觀和高強度而受到許多人的喜愛。瓷材質能夠模擬自然牙齒的光澤和透明度,使得最終效果非常逼真。此外,瓷牙貼片對於食物和飲料的染色抵抗力強,因此在日常生活中不易變色,能夠保持長期的美觀。 相比之下,樹脂複合材料貼片雖然在成本上更具優勢,但其耐用性和抗染色能力相對較弱。樹脂材料可能會隨著時間的推移而變色或磨損,因此需要定期檢查和維護。此外,樹脂複合材料的修復相對簡單,如果出現損壞,可以在短時間內進行修補。然而,這也意味著患者需要承擔更多的維護責任,以確保貼片的持久性。
牙齒貼片的適用情況

牙齒貼片適用於多種情況,特別是當患者希望改善牙齒的外觀時。首先,對於那些因為飲食習慣或吸煙而導致牙齒變色的人來說,牙齒貼片是一個理想的解決方案。它們能夠有效遮蓋顏色不均或深色斑點,使得笑容更加迷人。此外,對於有輕微裂縫或缺損的牙齒,牙齒貼片也能提供良好的修復效果。 此外,牙齒貼片還適合那些希望改善牙齒形狀或大小的人。如果患者對於自己的牙齒形狀不滿意,例如有些牙齒過長或過短,貼片可以幫助調整這些問題,使得整體笑容更加協調。無論是因為美觀需求還是功能性考量,牙齒貼片都能提供一個有效且持久的解決方案。
牙齒貼片的製作過程
製作牙齒貼片是一個精細且專業的過程,通常需要多次就診才能完成。首先,牙醫會進行全面的口腔檢查,以確定患者是否適合進行此項治療。在這個階段,醫生會拍攝X光片並進行口腔掃描,以獲取詳細的牙齒結構數據。接下來,醫生會與患者討論所需的顏色、形狀和大小,以確保最終效果符合患者的期望。 一旦確定了設計方案,醫生會開始準備患者的牙齒。這通常涉及到輕微磨削牙齒表面,以便為貼片提供良好的附著基礎。然後,醫生會取模並將其送往實驗室,由專業技術人員根據模具製作出個性化的牙齒貼片。這個過程可能需要幾天到幾週不等,具體取決於實驗室的工作量和技術水平。最後,在完成後,醫生會將貼片安裝到患者的牙齒上,並進行必要的調整,以確保舒適度和美觀度。
牙齒貼片的安裝與維護方法
安裝牙齒貼片是一個相對簡單但需要專業技術的過程。在安裝之前,醫生會再次檢查貼片與患者牙齒之間的契合度,以確保沒有任何不適感。安裝時,醫生會使用特殊的粘合劑將貼片固定在牙齒表面上,並使用光線固化技術使粘合劑迅速硬化。這樣可以確保貼片牢固地附著在牙齒上,不易脫落。 維護方面,雖然牙齒貼片相對耐用,但仍需定期檢查和清潔。患者應該保持良好的口腔衛生習慣,包括每天刷牙和使用牙線。此外,避免過度咀嚼硬物或使用牙齒開瓶子等不當行為,以防止貼片損壞。如果發現任何不適或損壞情況,應及時聯繫牙醫進行檢查和修復。
牙齒貼片的效果與風險

使用牙齒貼片後,大多數患者都能夠獲得令人滿意的效果。它們能夠顯著改善笑容,使得整體面部輪廓更加和諧。然而,也有一些潛在風險需要考慮。例如,在安裝過程中,如果操作不當可能會導致牙齒敏感或不適。此外,如果患者未能遵循正確的維護方法,也可能導致貼片早期磨損或脫落。 此外,有些人可能對粘合劑或材料過敏,因此在選擇材料時應謹慎考慮。如果出現過敏反應或其他不適症狀,應立即尋求專業醫療建議。總體而言,只要選擇合格的專業醫生並遵循正確的護理方法,大多數患者都能享受到長期而美觀的效果。
牙齒貼片的價格與保養費用
牙齒貼片的價格因材質、地區及醫生經驗等因素而異。一般來說,瓷牙貼片的價格較高,每顆可能在幾千到上萬元不等,而樹脂複合材料貼片則相對便宜。然而,在考慮價格時,不僅要看初始安裝費用,也要考慮到後續維護和修復費用。定期檢查和必要時的修補都可能增加總體花費。 此外,患者還應該考慮到口腔衛生產品及定期洗牙等保養費用。良好的口腔衛生習慣能夠延長牙齒貼片的使用壽命,因此在選擇治療方案時,不妨將這些長期成本納入考量範圍內。
牙齒貼片的常見問題與解決方法
在選擇和使用牙齒貼片時,許多患者可能會有一些疑問。例如,有人擔心安裝過程是否會疼痛,其實大多數情況下安裝過程是無痛的,因為醫生會使用麻醉劑來減少不適感。另外,有些人擔心貼片是否會影響咀嚼功能,其實只要安裝得當,不會對正常咀嚼造成影響。 此外,有些患者可能會擔心貼片是否容易脫落或損壞。只要遵循正確的維護方法並定期檢查,大多數人都能享受到長期穩定的效果。如果出現任何問題,如脫落或損壞,應及時聯繫專業醫生進行處理,以確保口腔健康和美觀。透過了解這些常見問題及其解決方法,可以幫助患者更好地做出決策並享受美麗笑容帶來的自信。
在探討【牙齒貼片】的種類、材質差異與維護方法時,可以參考這篇文章,深入了解不同材質的優缺點以及如何正確保養牙齒貼片,以延長其使用壽命。更多資訊請參考這裡。
FAQs
什麼是牙齒貼片?
牙齒貼片是一種薄薄的材料,通常貼附在牙齒表面,用以改善牙齒的外觀,如顏色、形狀或排列不整齊的問題。
牙齒貼片有哪些種類?
常見的牙齒貼片種類包括陶瓷貼片(瓷貼片)和樹脂貼片。陶瓷貼片較耐用且色澤自然,樹脂貼片則價格較低且修復方便。
不同材質的牙齒貼片有何差異?
陶瓷貼片質地堅硬、色澤逼真且不易染色,但價格較高且製作時間較長。樹脂貼片則較柔軟,容易修補,但較易變色且耐用度較低。
牙齒貼片的維護方法有哪些?
維護牙齒貼片應避免咬硬物,保持良好口腔衛生,定期刷牙和使用牙線,並定期回診檢查貼片狀況。
牙齒貼片會影響牙齒健康嗎?
正確製作與安裝的牙齒貼片不會損害牙齒健康,但若貼片製作不良或口腔衛生不佳,可能導致牙齦發炎或蛀牙。
牙齒貼片的使用壽命大約多久?
陶瓷貼片的壽命通常可達10年以上,樹脂貼片則約3至5年,具體壽命視個人使用習慣與保養情況而定。
牙齒貼片是否適合所有人?
牙齒貼片適合改善輕度至中度的牙齒美觀問題,但若牙齒嚴重損壞或咬合問題,需先諮詢牙醫評估是否適合使用貼片。
歡迎醫美機構診所刊登資訊
免費製作專屬頁面,曝光優惠方案實施中!我想了解合作方案
網站免責聲明
- 台灣醫美資訊網的內容僅供教育和資訊傳達之用,並不替代專業醫療建議、診斷或治療。
- 您有任何疑問,請務必諮詢您的醫生或其他合格的醫療服務提供者。切勿因網站上的資訊而忽視或延遲尋求專業醫療建議。
- 內容中所有項目皆有其風險,請另先諮詢專科醫師評估個人狀況後再行施作,網站上的任何資訊(包括任何指向第三方醫療保健提供者的資訊)都需要您自行承擔風險。
